Recombinant Human Glucagon receptor(GCGR),partial (Active)
Recombinant Human Glucagon receptor(GCGR),partial (Active)

Western blot analysis of beta actin in COS7, Jurkat, C6 and 3T3 lysates using beta actin antibody (1:5000 diluted).

Recombinant Human Glucagon receptor(GCGR),partial (Active)
货 号:
GS13247
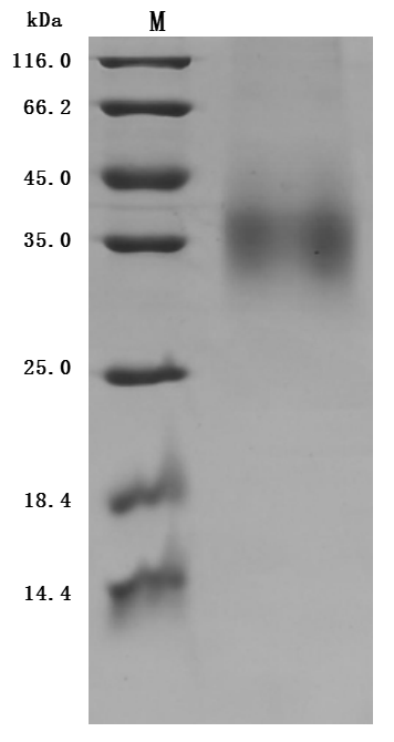
(Tris-Glycine gel) Discontinuous SDS-PAGE (reduced) with 5% enrichment gel and 15% separation gel.
类 别:
Protein
别 名:
(GL-R)
表达宿主:
Mammalian cell
种 属:
Homo sapiens (Human)
目录价格:
RMB
  • 产品详情
产品名称
Recombinant Human Glucagon receptor(GCGR),partial (Active)
货号
GS13247
蛋白构建
Uniorot ID:P47871(26-136aa)
别名
(GL-R)
表达宿主
Mammalian cell
种属
Homo sapiens (Human)
标签
N-terminal 10xHis-tagged and C-terminal Myc-tagged
纯度
Greater than 95% as determined by SDS-PAGE.
内毒素
Less than 1.0 EU/mg as determined by LAL method.
缓冲液
Lyophilized from a 0.2 μm filtered 20 mM Tris-HCl, 0.5 M NaCl, 6% Trehalose, pH 8.0
活性检测
Measured by its binding ability in a functional ELISA. Immobilized human GCGR at 2 μg/mL can bind Anti-GCGR recombinant antibody , the EC50 is 3.747-6.666 ng/mL.
存储
We recommend that this vial be briefly centrifuged prior to opening to bring the contents to the bottom. Please reconstitute protein in deionized sterile water.We recommend to add 5-50% of glycerol (final concentration) and aliquot for long-term storage at -20℃/-80℃. Our default final concentration of glycerol is 50%. Customers could use it as reference.
类别
Protein
用途
For research use only